Cazuistică și Colaborări Clinice: Soluții Avansate pentru Pacienți și Medici
Chirurgia Maxilo-Facială de succes se bazează pe o colaborare strânsă între medicul curant și specialistul chirurg. În această secțiune, vă prezint o selecție de cazuri clinice complexe pe care le-am coordonat în cadrul clinicilor și cabinetelor partenere.
Abordarea mea se concentrează pe integrarea procedurilor chirurgicale (implantologie avansată, adiții osoase, sinus lift) în planul de tratament general al fiecărui cabinet, punând siguranța și confortul pacientului pe primul loc. Aceste rezultate sunt dovada unui protocol riguros și a unei planificări digitale minuțioase, realizate pentru a asigura succesul pe termen lung al restaurărilor protetice.
CAZURI CLINICE




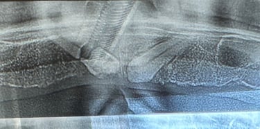
Se deceleaza imagistic o formatiune tumorala radiotransparenta, de mari dimensiuni, localizata la nivelul intregului grup frontal mandibular.
Dupa examenul clinic si imagistic se pune diagnosticul prezumtiv de formatiune tumorala chistica (chist radicular de mari dimensiuni). Se intervine chirurgical realizandu-se extractiile dintilor cauzali, irecuperabili, rezectii apicale a dintilor implicati chistic, care au fost tratati endodontic in prealabil. Piesa operatorie a fost trimisa catre examenul histopatologic, diagnosticul fiind chist radicular fara atipii.


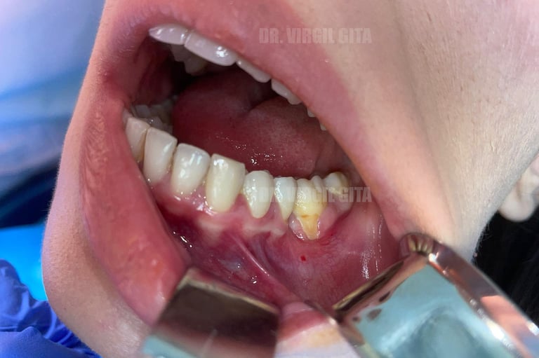
Tratament retractie gingivala post tratament ortodontic cu lambou tractionat coronar si grefa de tesut conjunctiv prelevata de la nivelul palatului + membrana PRF






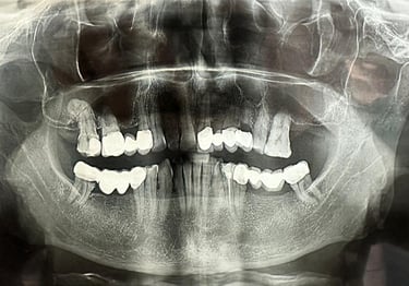
Reabilitare orala prin inserare a 3 implanturi dentare la nivelul cadranului II. In acelasi timp chirurgical s-a realizat aditie osoasa prin elevatia mucoasei sinusale in vederea asigurarii suportului osos necesar aplicarii implantului posterior.




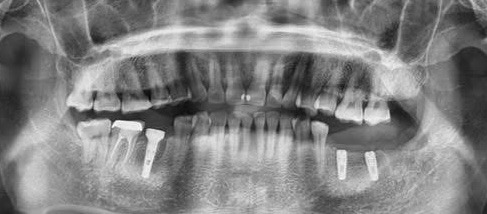
Reabilitare implantara in cazul unor dinti restanti irecuperabili, cu mobilitate severa. Dupa extractia atraumatica a dintilor compromisi, tratamentul continua cu inserarea implanturilor dentare. In prealabil, in urma cu 6 luni s-a realizat aditie osoasa prin sinus lift extern la nivelul cadranului II, tehnica chirurgicala care ne-a permis inserarea implanturile posterioare.


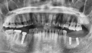
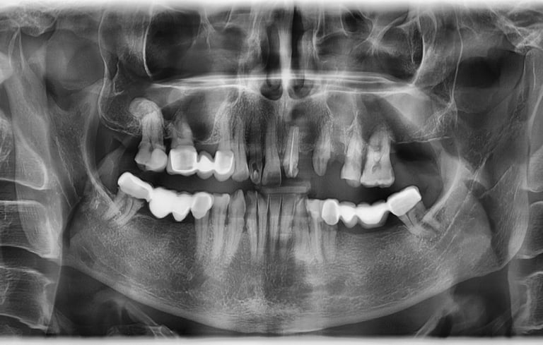
Inserare 2 implanturi in cadranul III si un implant inserat post-extractional in cadranul IV




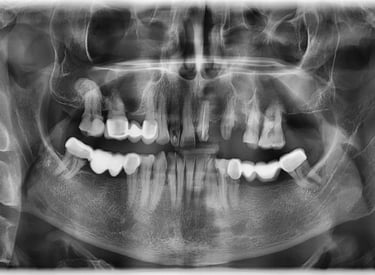
Dupa incercarea esuata de extractie a caninului inclus la un alt cabinet, pacientul s-a prezentat cu un abces palatinal. Dupa remiterea fenomenelor acute, s-a realizat extractia celor 2 canini inclusi.




Pacientul se prezinta cu un abces palatinal. Dupa drenarea abcesului, se realizeaza chistectomia si rezectia apicala a dintelui 2.1




Contact
Pentru informatii si programari, contactati-ma!
© 2025. All rights reserved.


